ブログ

治療について Entry

  • 2026年01月11日 カテゴリ:その他, 日記, 最近の話題, 歯科医師の思うこと

    鳥と戯れる

    みなさん、こんにちは。お正月も開けていよいよ今年も本格始動の時期ですね。 けれども、やはり毎日の生活の中で、何がしかの心の安定、癒しというのはとても大事です。 そこで今日は、この時期の最大の癒し、鳥さんたちとの戯れをお話をします。私のデスクから見える窓の外に、野鳥を呼ぶ給餌台が数個あります。 一つはヒヨドリさん用。 もう一つはシジュウカラさん用。 そして、最後の屋根のついている…
  • 2025年12月14日 カテゴリ:その他, 同業者の方へ, 日記, 歯科医師の思うこと

    歯科医師へ、 患者様へ、大切な提言

    こんにちは。 今日は少し難しい話になってしまいます。 昨日昔お世話になった(慶応病院研修中に指導いただきました) 精神科の医師 宮岡 等 先生(北里大学医学部名誉教授) 「精神科医から歯科医師にお願いしたいこと」 の講演会に参加しました。 本来、歯科医に向けての講演なのですが、ブログ上ではあえて患者さん目線で優しく表現して、どんなことを日々我々が勉強しているかをお知らせ致します…
  • 2025年12月12日 カテゴリ:お知らせ, その他, 日記, 最近の話題

    喉より 鼻

    皆さんこんにちは。今日はこんなお話。 朝と夜に健康に良い習慣。 さて、何でしょうか、それは 鼻洗いです。 歯医者さんというのは目の前で、何10万回転するドリルを水と空気を出して削るわけですからね。 帽子もメガネも粉や水で汚染されてます。 ですからどんなにマスクをかけていても、患者さんが風邪をひいたりしていれば感染してしまう確率が高いです。しかしなぜか私は風邪をひかない。 そこで…
  • 衣食住と え! 睡眠も!

    みなさんこんにちは、さて、今日は。こんな話題です。 いや、話題とは言えなません。 私の今年最大の貴重な経験をお話ししましょう。 皆さん、よく眠れてますか? 朝、起きたとき、全然疲れが取れていないとか、あるいはあんなに寝たのに昼間に眠くなる、そんなことありませんか? このなんとも表現のしがたい疲れ、スパッととる方法はないのでしょうか。 やっぱり ユンケルかな?笑。 実はこのスパッ…
  • 2025年10月20日 カテゴリ:Q&A, その他

    Q & A歯ブラシの仕方、絶対に決まったやり方でなければいけないのかな?

    基本的なやり方としては スクラビング法とかバス法とか色々とあるのですが、 人それぞれのお口の大きさや 歯の並び方が違いますので、消して1つの方法だけでいいものではありません。 場所によっては縦に磨いたり 、また 歯ブラシの先だけを利用したり、 逆に歯ブラシの付け根のかかとの部分を利用したり。 いろんなアイデアを自分で考えて、自分の歯並びに有効な ブラッシングの仕方を身につけるこ…
  • 2025年10月17日 カテゴリ:Q&A, う蝕 虫歯など, その他, 治療について

    Q&A歯科医院でのクリーニングはどのくらいの間隔を目安にするのか❓

    歯科医院でのクリーニングはどのくらいの間隔を目安にするのか❓ 歯ブラシが当たりにくい所などで歯の表面に細菌が層をなして堆積しヌルヌルになったもの。 これをバイオフィルムと言います。  これが虫歯と歯周病の原因になります。  バイオフィルムというのは すでに歯ブラシや その他 器具では取れない状態の汚れです。  しかしこれ以上この状態が続くと、いわゆ…
  • 2025年10月14日 カテゴリ:その他, 歯並びについて, 治療について

    Q&A 乳歯の後ろから永久歯が生えてきてしまって重なって見えます 歯並びに影響はないのでしょうか?

    乳歯の後ろから永久歯が生えてきてしまって重なって見えます 歯並びに影響はないのでし ょうか  図のようにまるで囲ったところのように、乳歯と永久歯が生え変わるほんの少しの間 両方の歯が混在してしまうことがあります.  歯並びに影響があるように見えますが、ほとんどのケースでは問題なく経過します.  ただし 交換時期が著しく遅くなっていたり.あるいは 永…
  • 2025年10月12日 カテゴリ:その他

    歯が痛くて頭まで頭や首まで痛くなる事ってあるのかな ❓

    歯が痛くて頭まで頭や首まで痛くなる事ってあるのかな 。 この図を見ていただきたい。  顔面にはこのように色々な筋肉が付着しています。  物を食べるための筋肉 いわゆる 咀嚼筋 と言われるものが頬部の外側、 そして こめかみなどについています。 従って歯が痛んだり 噛み合わせが悪くなったりした時に、その筋肉にまで影響がある場合はよくあることです。 また、頭痛や肩こりにとして症状が…
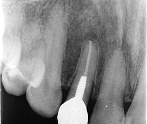
  • 笑った時の美しさが大切

    今日は 前歯の治療のお話です。 笑った時に治療した前歯の根元の歯肉が黒ずんでいるのよく見かけたことがあるんのではないでしょうか。 着けた直後はきれいだだけども、時を経てとなんとなく差し歯の根本の歯肉が 黒ずんでくる。 笑った時にかなり目立ってしまいます 。 なぜ そのように見えるかと言うと 、まずその差し歯の中の部分が金属でできていからです。 差し歯の中のパーツに金属を多用して…
  • 2025年09月11日 カテゴリ:お知らせ, 審美治療 ホワイトニング, 日記

    ホワイトニング

    皆さんこんにちは 今日は当院で行っている ホワイトニングについて説明します。 「笑顔に美しい白い歯」。  これは多くの人の 願望 かもしれません。  ちなみに 昨今 美容整形が流行っているようで、歯科においても ホワイトニングと言って 薬液で歯を白くすることを希望する方がとても 増えています。 当院は効果の高い最新のシステムと、とてもリーズナブルな価格が評判…
ぺーじゃー