ブログ
インプラントのチェック
今日は歯の話です。
誰でもわかりやすいような言葉を選んで説明します。
私の得意とするインプラント治療 つまりなくなった所に本当のような歯を戻す治療。
その価値はいうまでもなく失ったところに本物そっくりな歯を戻し、取り外しすることもなく、快適に食事をする。
そのほかにもいろいろとありますがそんなところです。
インプラント治療で最も難しいのは審美領域と言われている前歯の治療(見えるところ)なのです。
なぜかというと天然の歯のようにその周り歯肉の形態も自然でなければおかしい。
また経時的な変化というものがあって、インプラントを行ったその時点ではとても満足できる形態でも、時間が経つと周囲の骨が吸収しインプラントの根本歯肉のふくらみが減り、なんとなく笑った時にここは自分の歯ではないよと、分かってしまうようになってしまうのです。
ですから審美領域のインプラントを行うときはやはりいろいろな工夫をして、長期に自然な美しさを保てるように技術研鑽し、最新知見に基づいた処置をすることがとても大事なのです。

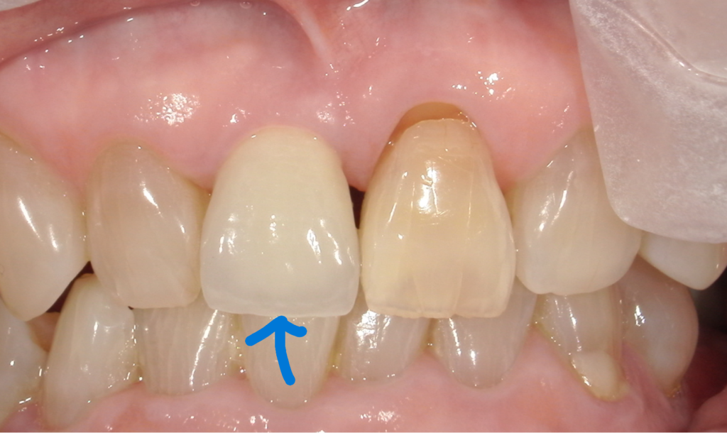
この方はインプラントを行ってから4年経っています。青い矢印がインプラント(自分の歯ではありません 骨の中に人工歯根チタン製が入っています)
ご本人は大変満足されています。
拡大してみますと、どうしても一般の方は歯の色の微妙な違いが気になるかもしれません。しかし私たちが見るところは青い〇 と緑の〇。ここら辺なのです。
根本のふくらみが自分の歯とインプラントとが何年たってもそんなに違わない。
いい状態を保っています。
実はこのケース、
ダメになった歯を抜歯する際に、歯の一部(健康な部分)を薄く残しているんですね。
つまりわざと歯のかけらをここに残してそのままインプラントしています。
ルートメンブレン法という技術ですね。
自分の歯の一部があれば、周囲組織はが吸収しないことを利用しています。
手技的にはとても難しく厄介なものです。
しかし、うまくいけば、このように何年経っても周りの自然な自分の歯と同じ、歯肉のふくらみを保てます。
それから。レントゲン図を見てみましょう。

どこをみるかというと。ここを見ます。
インプラント周囲炎とは、この部分が炎症性に吸収を起こす病変ですね。
進行しますと、インプラントの根本の骨が吸収していきます。
そうなりますと、周囲より根本が貧弱に見えてきます。
次にインプラントの形状を見てください、
歯と根の境にくびれた部分がありますね。
これは。non matchingインプラントと言って、あらゆる学術報告の中で、インプラント周囲炎が起こりにくいというインプラントです。
最新のインプラントを使っている。
そして最も重要なのがインプラントを埋める骨内の位置です。0,1ミリの世界で正確に設定し手術します。
これもまた日々研鑽を積むドクターでなければできないことです。
いくつか、10年経ったインプラントの前歯をお見せします。
立派な症例ではありませんが、あえてお見せします。


いかがでしょうか。
10年経っても許容できる状態であると思います。
この間このインプラントに特別なメンテは行っていません。
お値段は1本すべて込みで 280000円
都内などではいろいろオプションがついて400000円を超える価格設定もあるとか(同じものですよ)
一年の償却費用は28000円 しかも歯科医院での待つ時間や痛みを伴う追加処置もありません。
さらにこれからおそらく20年くらいは変化ないと確信します。
非常にコストパフォーマンスのよい時間に対する投資と考えます。
どうでしょう、インプラント治療された方、たまにレントゲンを撮ってもらってますか?
インプラントはここを観ていくべきです。
これをよく覚えていただいて、メインテナンスに行かれるとき、あるいは自分で鏡で見てチェックする際、周りの歯肉が安定しているかどうか、出血や腫れがないかどうか、
日々チェックを怠らないようにしてください。
3 投票, 平均: 1.00 / 1