ブログ
最近の症例
時には歯についても報告しなくては。
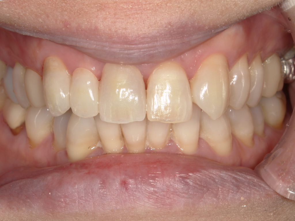
さてこの患者さんは、以前行った前歯が気になり、もう少し自然感あふれる表情に修正できないかとの希望でした。


マーキングした部位ですね。
一見、そんなに色が相違していることはなく、あまり気にしない方ならばこれでオッケーなのかなと感じますが、流石、お判りになる方もおられます、うれしい限りです。

部分的に拡大しますと、御覧の通り、質感がまるで違います。
微妙な凹凸の有り無しが、自然光の反射や、夜間のダウンライトの微光により、笑顔の質感、しっとり感、大人の雰囲気を台無しにしてしまいます。
カクテル片手にしての、側方視線に対峙するには、本来の質感はとても大切です。
そんな患者様に対しては、完璧を目指します。
せっかくなのでホワイトニングを行います。着手する前に、他の歯を明るくしておこうということです。
当院ではオフィスとホームを必ず両方行います。(20000円。おそらくどこよりも安いはず)
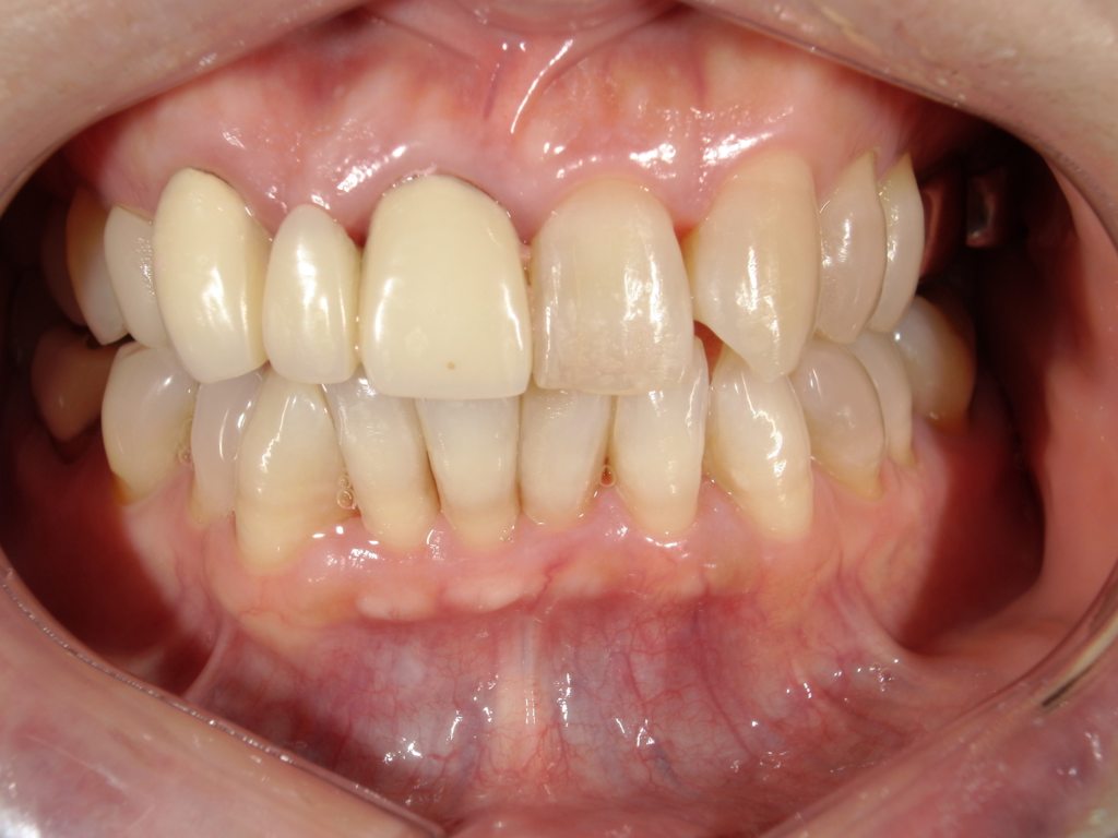
そしてついに昨日装着いたしました。

専門家からはいろいろ付け加えられることあるとは思いますが、私としては満足の結果です。
カメラのフラッシュにより色の違いを少し感じますが、室内光下ではかなりマッチしてていました。
患者様もご納得されていて、私も一安心です。

質感もこのように改善されています。
このような仕事は、お金の問題ではなく、その達成感はなににも代えがたい喜びを双方に残すものです。
もちろん、これは私の技術だけでできたものではなく、私を支えている周囲のすべての方々、特に歯科技工士の高畑さんの絶え間ない努力と、また常日頃、いとう矯正歯科(この先生の知識 ものの考え方 この上を行く先生を私は知らない)の先生の助言があっての結果です。
また最後に、だれでも少しの勇気と予算があれば(どこよりもお安く)できるようにいつも努力しています。
どうぞ遠慮なくご相談に来てください。
また、くれぐれも、歯の矯正は大小問わず必ず専門医で行ってください。マウスピース矯正は 私の考えでは、あまりお勧めできません。理由はいろいろありますが、その人には言えない理由をぜひネットで検索してみてください。
2 投票, 平均: 1.00 / 1