ブログ
2025年08月31日
当院のジルコニアセラミック治療
最初の症例は他院で10万円かかるといわれた症例


いつかでしたか
先生! 手をキチンと洗っていますか? グローブは変えていますか?
と注意を受けたことがあります。アチこち飛び回っていますからね。当然の疑問です。
ご心配無用です、当たりまえですが、改めて申しますと、1処置ごとに他の患者さんを見た後はグローブを変えています。つまり一人の患者様に何枚も使うこともあります。
さてお口に入れてみましょう。

全然特別な技術いりません。
4倍のルーペで正確に削除形成して、正確に型をとり、色合わせを指示するだけです。
後は、信頼している技工士にお願いするだけです。
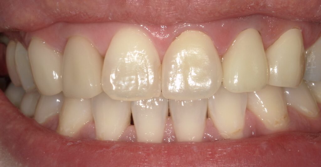
次は同郷の患者さん、とってもいい方で、こちらも力が入ります。

左側の3本の色がよくないので変えたい、保険外の処置を希望されました。

いかがでしょうか
前回説明した、色違いの材料を築盛していき、微妙な表情まで表現しています。
北海道のアコーデント社、高畑氏による作品です。
これも我々歯科医師の仕事は、正確に削り 型をとり 指示をする、
これを淡々と日々こなしていくだけです。
改めて患者様の熱心さと粘り強さ、そしてコースタッフの力がないと達成できません。
また明日も正確に治療を行います。
1 投票, 平均: 1.00 / 1