ブログ
2015年02月01日
ブリッジのワンディートリートメント
先日の木曜日は、インプラント審美 ワンディーの日です、それなりに忙しくも充実した日でした
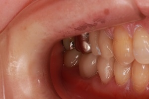
さてこのように右下を1週間前に抜歯した患者様です
10時に来院され午前中に前後の歯を削り お昼を休憩され 2時半には装着完了です
本来は、1本の欠損は、インプラントで処置するのが世界的には標準ですが、今回はあえてブリッジを
選択されました しかも白い色の歯でお願いしたいとのこと
ここで昔であったら問題が生じます
白い歯の場合 前後の歯の削除量が大きくなり 神経を取らねばならないか?
これが従来からある危惧です
なので、削除量を少なくするとか 部分的に削るとか 考えるわけです
すべて間違いです
しっかり規定量を削り 全部被せる形にすることがベストな選択です
ただし
切削時十分な冷却を行うこと 材質は、歯牙に優しいセラミックにする事
最後に 即日修復を行うこと(接着技術を正確に応用すること)
これさえ守れば、神経を残すことができると確信しています。
この患者様もかなりの削除量でしたが問題は皆無です
材質はE-MAXを使用しています
費用は、短時間で装着できることであらゆるコストが削減できていますので
3本で99000円でした
皆様もブリッジにする場合 神経を取らずに確実にできる方法があることを
覚えておいてください。
いいね