ブログ
2014年05月18日
新狭山 川越 南大塚でホワイトニング 審美治療を考えている方必読です


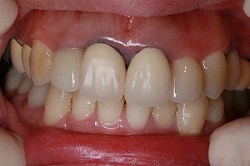
こちらの患者様は 当院に1年半通院されている患者様です
下の写真が初診時で上が現時点の写真です
結果にとても満足されていますので、アップを許可いただきました
お口のなかの金属をすべて撤去し セラミックに変更しました、
ホワイトニングも行っています
また左の歯肉が抜歯後に陥没しているように見えるため、人工骨による形成を
行いました
長期経過を辿りますとある推測 (あくまで推測です)が生まれます
現在保険で使用許可されている金銀パラジュウム合金は、それにアレルギーがあるなし以前に
生体に悪影響を及ぼしているのではないだろうか
患者様は女性の方なので、直接には申し上げませんでしたが
お顔の皮膚もとても健康的な色に変化されているのでここで追加させていただきます。
またこの4月から、一部の選ばれた施設で
(当院も現在申請中です 患者様のためには必要な機材を積極導入し許可を受けるつもりです)
ハイブリッドのセラミック治療が保険導入され金属に変わる新しい材料の使用が許可される傾向になっています
これはとても喜ばしいことで、ぜひ歯科医師がこれを後押ししていって(歯科医師としての義務と感じます)
より生体に良い材料で皆さんの歯を治療できるようにしたいものです
歯科材料の善し悪しは 耐久性よりも親和性です
つまり それがどれだけ長くもつかよりも、たとえ短期間でもどれだけ生体に親和性を持つかです
この簡単で基本的な考えが 歯科医師 患者様に少し欠けているように思えてなりません。
次回は当院で行われている 完璧なホワイトニング治療です しかも絶対安い!
いいね