ブログ

2013年12月29日

審美領域

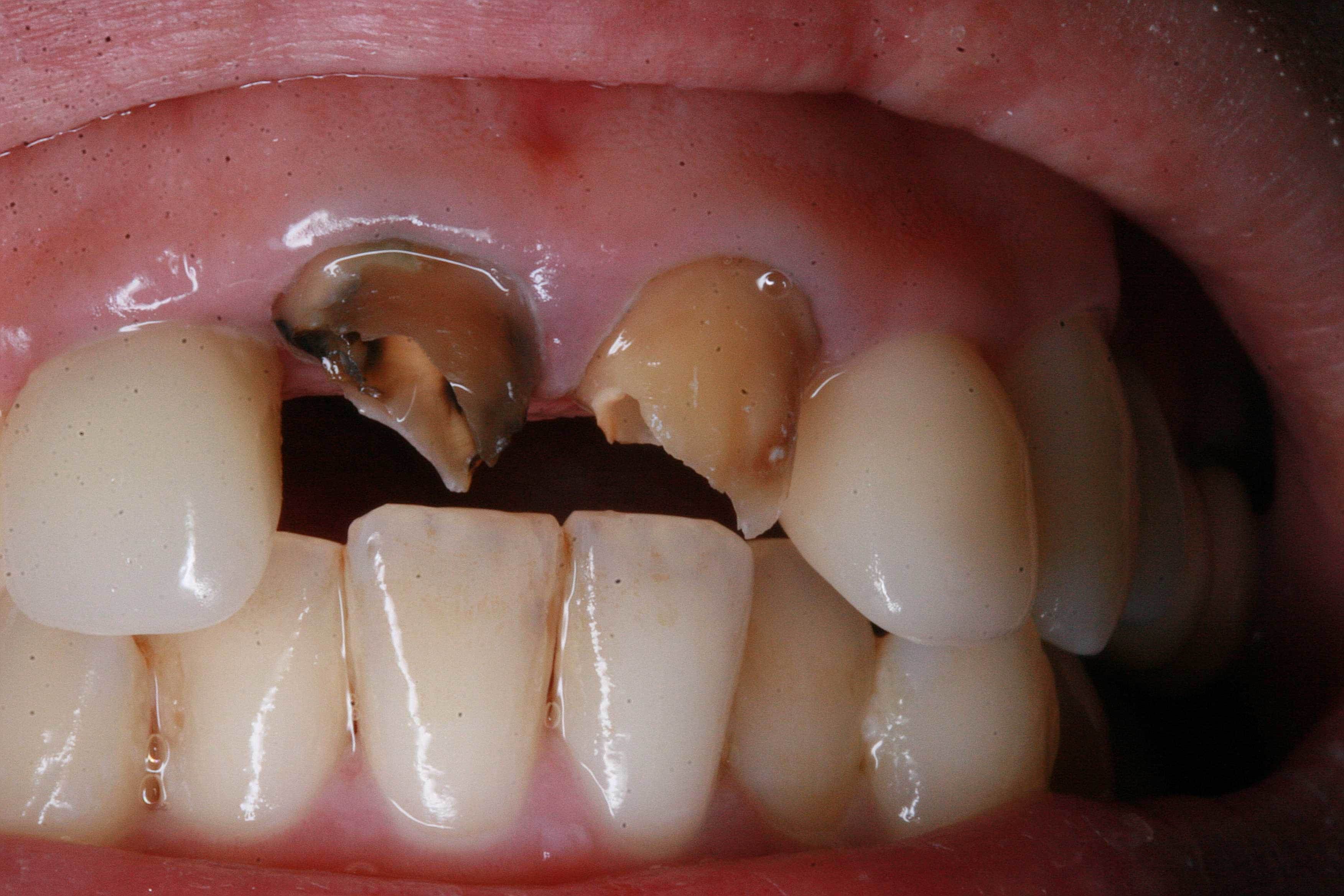
Yさん前歯は金属の影響で歯肉が変色を起こしていました、とても気の毒です
0000000992_米澤 麻依子_Camera_20130723175925
そこで私の出番です、丁寧に金属を除去します、8倍のスコープを使用しながらの細かい作業です、するとこんなにも変色しています
0000000001_土井 喜子_IntraOral_20130730200500
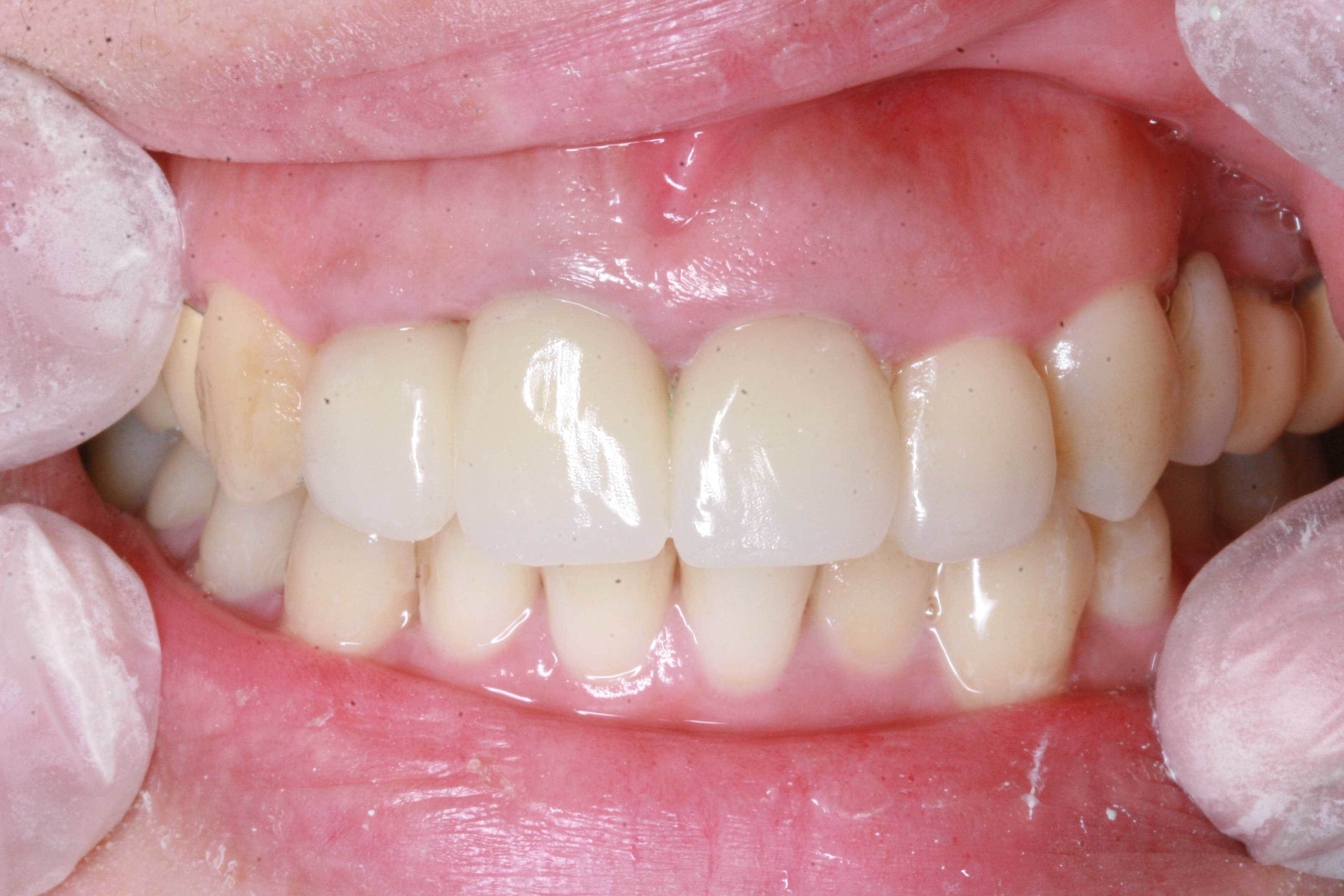
漂白法を併用しファイバーの土台をつけます、最終のセラミックは透過性があるので自然な感じになりました
0000000992_米澤 麻依子_Camera_20131001202111
一般に開業医は型をとりますと、外注といって、技工士さんに作ってもらうことが多いです、これは望ましくありません。私は全て自分が患者さんと話し合いながら作製します。しかし申し訳ございません、保険の効かない治療なので、1本32000円の治療費をいただきました。Yさんには本当にご満足いただけてたか疑問ですが、とにかくこの仕事は楽しくて 昼休みに休日に、時間を忘れてしまいます。
続きは次のブログで。

いいねいいね
読み込み中...