ブログ
歯周病がもう治らないと諦めているあなたに朗報です。
当院では最新式のヤグレーザー アーウィンアドベールEVOを新規に導入します。
このレーザーは生体にやさしく今までなかなか殺菌できなかったポケット内を効果的に除菌できるものです。
また失われた組織を再生することも促します。
ぜひこの機会に新しいレーザーを使い治らなかった歯周病を治療されてみませんか。
健保適用です。
痛みの少ない治療
多くのレーザー波長の中で、Er:YAGレーザーが歯科医療に適している理由は、水への高い吸収性にあります。
Er:YAGレ ーザーは、水を含んだ生体組織に対する蒸散能力が高く、表層にのみ反応が起こり、熱の発生が微小なため、痛みが非常に少ないという特徴があります。
身体組織に負担の少ない治療
Er:YAGレーザーは、蒸散という反応が照射部の表層に限定されて行われるため、CO2 Laser、Nd : YAG Laserに比べ、透過光による組織深部への影響が少なくてすみます。
またエナメル質にクラックが起こりにくく、照射野周囲の照射エネルギー密度が低いため、周囲組織への影響はほとんど有りません。
さまざまな臨床ケースに対応
多彩なチップラインナップにより、軟組織から硬組織まで幅広い治療に対応できます。

硬組織疾患
- 効果:蒸散
- う蝕除去
- くさび状欠損の表層除去
歯周疾患
- 効果: 切開、蒸散
- 歯石除去(インプラントへの付着を含む)*
- 歯肉整形
- ポケット掻爬
- フラップ手術
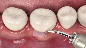
- 歯周ポケットへの照射
軟組織疾患
- 効果:切開、止血、凝固、蒸散
- 歯肉切開・切除
- 口内炎の凝固層形成
- 小帯切除
- 色素沈着除去

う蝕除去

歯石除去(インプラントへの付着を含む)*

歯肉切開・切除

歯周ポケットへの照射

色素沈着除去
多くの使用目的と効果・効能が薬事承認
硬組織疾患、歯周疾患、軟組織疾患のさまざまな使用目的と効果・効能が薬事承認されています。
3 投票, 平均: 1.00 / 1