ブログ
どうですか?の答え 満面笑顔 最高
ちょっと短めの投稿です。
患者さんとの日々の最初のご挨拶。
実はこの一瞬が、私の最も緊張する時間です。
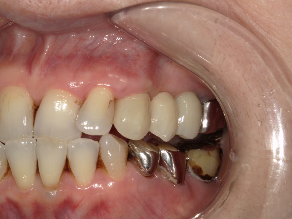
ある日の朝。
2週間前にインプラントを左の奥歯に装着した女性の方です。
どうですか❓ (小さなく控えめに ドキドキわくわく果たしていかに❓)

この状態から、一度は取り外しの義歯を入れたのちにインプラントを選択していただきました。

なんでも噛んでいます❣
そして満面の笑顔!です。
最高の日になりました。ありがとうございます。
日々、研修を欠かさず行い続けているのはこの笑顔が見たいためだけです。
何があってもへこたれず、前進していきます。
2 投票, 平均: 1.00 / 1