ブログ
前歯が欠損になった症例
さて 今度は 前歯がなくなった症例
前歯は機能面 だけではなく心理面 が関わってくるので、歯が抜けた際の患者様の心の状態 にまで配慮することがが必要となります。
以前にある70歳代の女性がこんなことを私に言いました 。
先日 前歯がグラグラしていよいよ どうしようもなくて先生に抜いていただいたが それ以来 朝 自分の顔を見るのもやだし 食事を取ることが嫌になりました。
この言葉を頂いた時、私は図り知れない衝撃を受けました。
一般的に 例えば前歯を治療する場合 歯科医学的には奥歯の治療を優先させなければならない 。
これが 大原則です。
しかし しかしそれはあくまで 我々の方の都合であって、患者さんにとってはあくまでも 前歯が優先 なわけです 。食事はおかゆにできるけれど、前歯だけはどうにもならない。歯科医に頼らざるをえないわけです。この気づきを歯科医師は怠り気味です。
だから 前歯を欠損した方になるべく 早く心理的に納得されるような処置をする 。これは 私の 臨床上最も最優先な課題です。
従って、私の場合は奥歯に問題があってもまず 前歯を何とかする 、あるいは 何とか 策を練る。
これが自分の仕事であるといつも感じているわけです 。
そんなところで2つの症例をお見せします 。
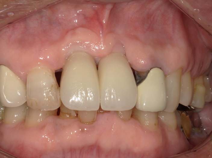
1つ目は 若い男性。
もともと 前歯にブリッジがかかっていたが 噛み合わせが強いため そのブリッジの土台となっている 歯が割れて トータル 4本の前歯が欠損する。
本人の強い要望もあり 取り外しの部分入れ歯などではなく 2本のインプラントを入れて ブリッジ 形態にし4本 前歯を入れました 。





どうでしょうか、
自然な感じで、ほぼご自分の歯としてもよいほどでしょう。
しかしすべてがこのようにはいかないのも現実です。
この方にはとても喜んでいただき このようにブログに 載せてことにも問題なく承諾していただきました。
次の症例 です。
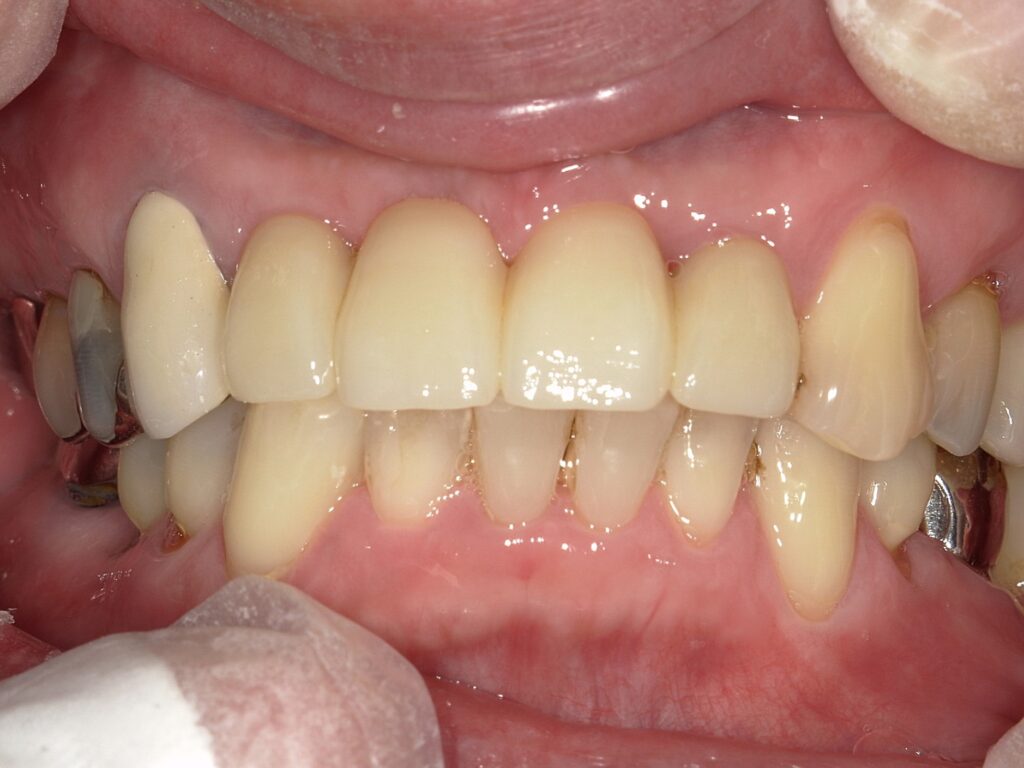
この方はかなり 御高齢の男性で 前歯がほぼ自然に取れて来る状態になりました。
下の前歯が上の 歯肉にまで噛み込む 噛み合わせだったので、部分入れ歯を作ることにも不可能だったのです。

本人はもう歳だからなくてもいい 。そんな言葉をいただきましたが、 私の考えとしては いくつになっても男女関係なく どうしてもなくてはならない 部分なので何とかならないだろうかと考えておりました。
そこで 100パーセント満足し教科書的な立派な治療ではないけれども 、私の技術を持ってなんとかインプラントができます。少なくとも 取り外しはしなくてよい形で 前歯を作ることができますと提案しますと、患者さんはそれではお願いしますといったこととなりました。



(少ない骨でもインプラントの先端を鼻腔底に一部噛ませることで強く固定を取っている、これができるか否かがこの症例のキーです)
上がインプラント後3か月めです。4か月後には歯が入りました。
下が装着したところ。
周囲の歯で今後治療が必要なところは順次行っていきます。
歯科医師が見れば もしかしたら多少 無理をしたケース かもしれません。しかし私は最大限 患者さんの希望を叶えられるよう 医学的にはある程度妥協しながらでもなんとか治療をしたつもりです。
こんな治療を日々していますが、医師による治療は、必ずその過程あるいは結果にその医師の持つ個性考え方、感受性、社会性、が強く出てしまいます。
したがって医師は仕事ばかりでなく、常に視野を広く持ち、豊かな感受性を持ち続け、幅広く社会のあらゆる人々と交流し、いつも謙虚に学ばなければならない。
また患者さんは先生の感覚が自分には合わないなと思ったら、躊躇せずに先生を変えることをお勧めします。
2 投票, 平均: 1.00 / 1