ブログ
抜歯を勧められた、”なぜ” ”不安” ”迷い” そんな方のために
このページをお尋ねくださりありがとうございます。
私自身も50歳を超えたあたりから3度抜歯を経験をしました。
さてこの写真を見てください。

神経をとってかぶせをしているのですが、歯牙は神経をとるとその時点から本来の強度を失い始め、10年の経過を超えるあたりから破折を起こすことがよくあります。
この状態では、おそらく抜歯を提案されることでしょう。
その際に、信頼している先生からの提言ならば納得するか、1回だけ他の先生のセカンドオピニオンを求めてもよいでしょう。
抜歯をした後の選択肢
抜歯をしたあとどうするか、ここが大きな問題です。
1⃣ 抜歯したまま何もしない

この画像を見てもわかるように、欠損した歯が多い程、かみ合わせが変わり、またその時になって歯を作りたくとも、その適切なスペースがないことわがわかります。速やかに歯を作りしっかり噛めるようにするべきです。
2⃣ 部分義歯を選択した場合(保険が効きます)
ばねの一種で両側の歯に止めているだけなので、噛む度に微妙に動きます。また、汚れがつきやすく、虫歯や歯周病の発症誘発の危険を生じます。
最悪の場合欠損の拡大を招きます。
メンンテナンスなしで、長期に使うことは避けるべきです。

・
3⃣ 前後の歯を削ってブリッジにした場合(保険がききますがメタル色が目立ちます)


保険も効きますし、従来より多く行われた処置です。
当面はよく噛めて良いのですが、土台となっている歯への負担がふえて、欠損部(ダミーの下)の清掃が困難であることで10年を超えるあたりからトラブルとなり、さらなる欠損の拡大を視ることが多くあります。
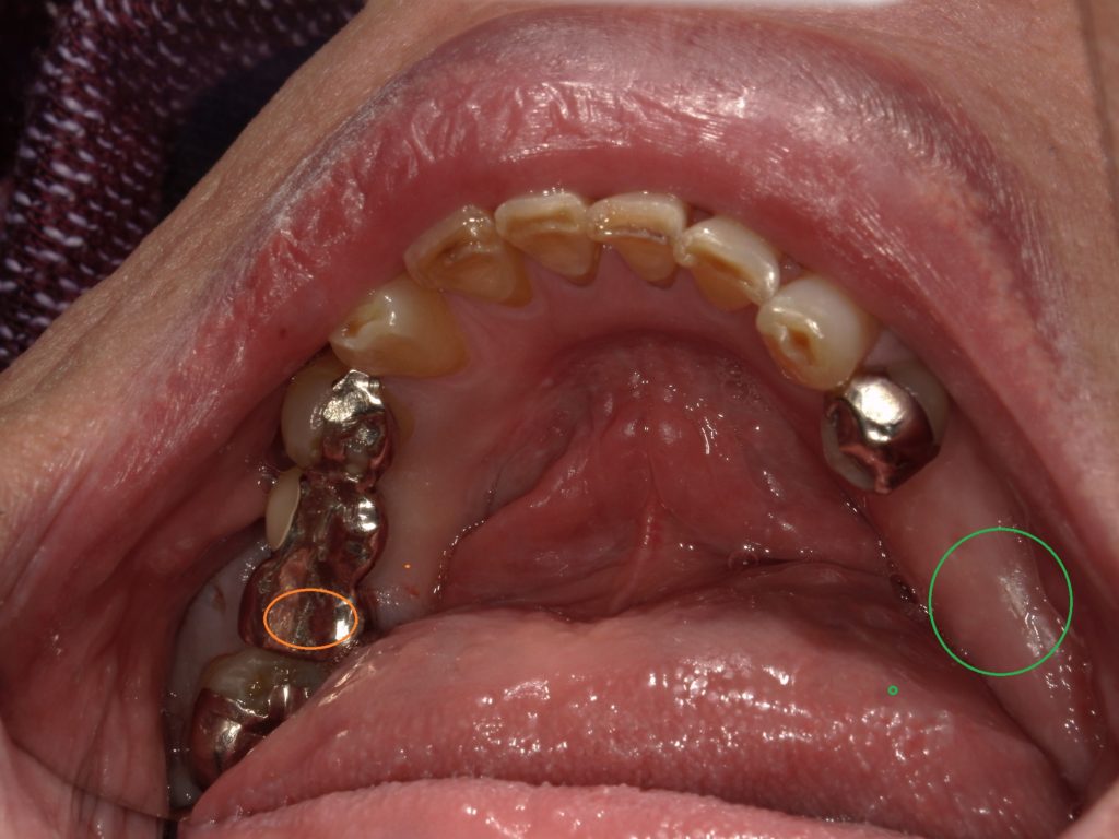
いくつかのブリッジのトラブル画像をお見せします。



非常に無理のかかった設計です。
オレンジの丸の部分が今回割れて抜歯となりました。
緑の欠損した部位に歯を入れずに食べていてさらなる欠損を起こしています。
この様に欠損がさらに欠損を生むことは日常の診療で多々散見される悲しいケースです。
最初に経験する欠損をどのように対処するかが、その後のお口の状態を大きく左右します。
4⃣ インプラント(保険が効きません)を選択した場合

両側の健全な歯を削らすに、着脱しなくても良いもので理想的な処置です。
一方で、行なう施設により技術的な差がはっきり出てしまい、必ずしも満足した結果が得られない。
また費用も高額となります。
この3つの中から選択しなくてはなりません。難しく感じますね。
ここで15年前の私の経験をお話しします(一部 同業者様には叱られるかもしれませんが、やはり患者さんの知りたいところであるのであえてお話しします)。
エピソードトーク
私ごとです。
15年前のある日、3本の歯がほぼ同時に破折を起こします。
当時、仕事や家庭のことで極めて多忙な生活を行っており、おそらく寝ている時などに歯ぎしりを行い自分の歯をおってしまったのだと認識しています。
頑張って生活している結果なので仕方がありません。しかし3本の歯が欠損しますと食事がうまくとれません。
最初は義歯を入れていましたが不愉快で耐えられませんでした。
そこでインプラントを考えます。
また、患者さんに薦めている上で自分も経験すべきと判断したのです。
今から20年前、私の慶応大学の研修時代の同期に、現 神奈川歯科大学インプラント科教授 河奈 裕正 先生がおりました。
この先生は研修時代よく一緒にお酒飲んだし、映画も見たし、とても仲の良い友人でした。
私は研修が終わると開業医の道へ進み、彼は大学に残る道を選びました。
私が開業して間もなく、彼を診療室に招いて、当時まだあまり行われていなかったインプラント手術を月1回希望者に行っていただくことができました。
これは私にとって大変貴重な経験で、目の前で一流のインプラント手術を何年もの間この目で拝見できたのです。
そこで、のちに松田聖子さんのご主人になられてから多忙な中でもお願いして、当院に来てもらい私自身の3本のインプラント手術を行っていただいた訳です。
そのインプラントは15年間私の体の一部として本当に私を支えています。
忘れられない出来事です。
インプラントという選択
話を戻しましょう。
この三つの選択肢の中で有意な選択は費用を除けばインプラント以外ありません。
ここで、なぜ私がインプラントを選択できたのか?
それは一言で信頼できる先生がいたからです。河奈先生以外ではだめなのです。
ではなぜ皆さんがなぜインプラントを躊躇するのか。
それはまだこの手術があまり信用されてないからです。
元を正せば正確にできる先生がまだ少ないからです。
全くをもって情けない限りです。
そこで、最良の治療選択はインプラントだとわかり、それを自分が選択した場合、
* どの施設で行うか?
* どの先生にやってもらうか?
* 最初に経験する欠損をどのように対処するか?
これらが、その後のお口の状態を大きく左右します。
残念ながら、これが最も重要な最終選択項目となることを忘れてはいけません。
今からいくつかの事例を上げ、選択のヒントを示します。
選択のヒント
インプラント不信事項(当院に受診した患者様の例)をご紹介します。
ケース 1
| 主訴 | 国道沿いの看板をみて、遠方のインプラント専門病院で手術を行ったが、たびたび歯肉が腫れるようになり当院を受診する |
| 処置 | 非常に費用の かかった大がかりな処置で、到底当院では根本処置不可能でした |
| 問題点 | 足が悪くなって通えなくなる場所での加療 便利さだけを追い求めて、必要以上な治療の施行 (20本の歯があれば良い) 手術は若い先生が行い、その先生はもういない |
ケース 2
| 主訴 | インプラントを契約し、費用は先払い、オペをしたがすぐに外れる 3か月後に再度オペ オペ翌日にご本人が取れたインプラント本体をもって当院に来られた |
| 処置 | インプラントはきれいに脱落していた 当院で再度インプラント行い問題なく経過 |
| 問題点 | 費用先払いはおかしい 先生の技術不足 |
ケース 3
| 主訴 | インプラントし術後3か月で歯肉の腫れを繰り返すので来院 先生は何もしてくれない |
| 処置 | インプラントは動揺を起こしていてその場で撤去 その後当院で再度インプラント経過良好 |
| 問題点 | インプラント埋入手技不足 メンテ中のトラブルに対する対処ができない |
この様なことが、一部にインプラント治療の信頼を損ねていることにつながっています。
最低、次の項目はチェックしてください。
- 足が悪くても通える施設を選びましょう。
- 多数の欠損をお持ちの方は、本当に必要な部位 箇所を明確にして、必要最低限の処置を希望しましょう。
- 先生が難しいと判断されたときは、便利さのみを優先せずに、他の安全な方法を模索しましょう。義歯やブリッジが絶対悪いものではありません。
- どの先生に行っていただけるかを明確にしましょう。
- その先生に永く見てもらえることを確認し、先生の年間のインプラント症例数をおしえていただきましょう。
さいごに
最後に再度大切なことを記します。
最初の欠損をどうするかが最も大切です。
放置は絶対ダメ。
義歯にした場合は、粘膜の変化などがあり4か月ごとのチェックを欠かさない。
ブリッジの場合、無理な設計でないかを確認し、やはり半年ごとの定期チェックを欠かさない。
インプラントの選択は最良であるが、どこ行うかは慎重に判断しましょう。
4 投票, 平均: 1.00 / 1